JHB + 27 11 484 0135 | CPT + 27 21 434 0180
  • English (ZA) English (ZA)
    • French French
    • Portuguese Portuguese
info@fibroids.co.za
Fibroid Treatment Clinic
  • Home
  • fibroids
  • FTR
  • Adenomyosis
  • Procedure
  • pregnancy
  • The Team
  • success stories
  • IN THE MEDIA
  • Events
  • Blog
  • FAQ
  • Contact
Select Page
Review

Review

by Marketing | Oct 19, 2021 | Adenomyosis, fibroids treatment, fibroids, Testimonials, Uterine Fibroid Embolisation, Women in White

Thank you for sharing your story, Monique! It was our pleasure taking care of you 🙏 😊 If you’d like to learn more about permanent, non-invasive fibroids treatment, please visit our website www.fibroids.co.za or send us a message online 💐
What to expect post UFE

What to expect post UFE

by Marketing | Oct 13, 2021 | Adenomyosis, fibroids treatment, fibroids, Uterine Fibroid Embolisation, Women in White

A Uterine Fibroid Embolisation requires only an overnight hospital stay 🙏 Providing significant relief from fibroids-related symptoms, here’s what you can expect post-procedure: 🌸 Bleeding from the uterus stops almost immediately. 🌸 After the procedure, there is a...
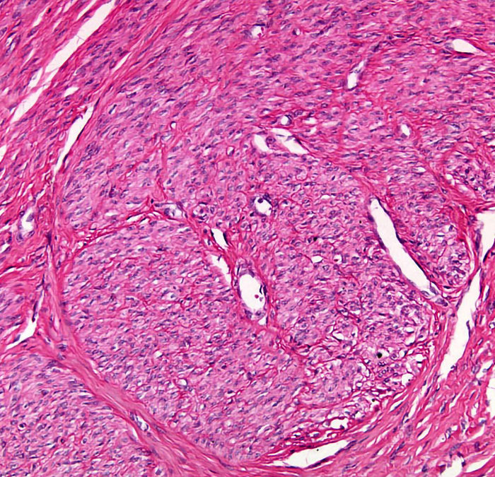
Fibroid images

Fibroid images

by Marketing | Oct 7, 2021 | Adenomyosis, fibroids treatment, fibroids, Uterine Fibroid Embolisation, Women in White

Have you ever wondered what a uterine fibroid looks like up close? Well, here you have it under a microscope 🔬 Swipe left for a detailed schematic image showing the whorled pattern of smooth muscle bundles that make a fibroid what it is 🤓  If you’ve been diagnosed and...
Heritage Day

Heritage Day

by Marketing | Sep 24, 2021 | Adenomyosis, fibroids treatment, fibroids, Uterine Fibroid Embolisation, Women in White

Today we celebrate the rich cultures, traditions and beliefs of our great nation and all its people 🇿🇦 Happy Heritage Day, South Africa!
What are calcified fibroids?

What are calcified fibroids?

by Marketing | Sep 15, 2021 | Adenomyosis, fibroids treatment, fibroids, Uterine Fibroid Embolisation, Women in White

Most common after menopause, calcification usually occurs when a fibroid reaches the final stages of degeneration or cell death. Calcium deposits develop in the remaining fibrous tissue, and in some cases even calcify the entire fibroid turning it into a hard mass....
What are the ‘particles’ used during UFE?

What are the ‘particles’ used during UFE?

by Marketing | Sep 9, 2021 | Adenomyosis, Fact Friday, fibroids treatment, fibroids, Uterine Fibroid Embolisation, Women in White

  Did you know the particles used during the UFE procedure are made of synthetic materials, each about the size of a grain of sand? Injected into the uterine arteries, these microparticles cut off blood supply to the fibroids, causing them to shrink and become...
« Older Entries
Next Entries »

Head Office:

Christiaan Barnard Memorial Hospital, The Link, Suite 413, 4th Floor, Cnr DF Malan Street and Rua Bartholomeu Dias, Foreshore, Cape Town , 8000

T. JHB + 27 11 484 0135
T. CPT + 27 21 434 0180
E. info@fibroids.co.za

Privacy Policy

Cookies Policy

For all official information and updates regarding COVID-19, visit the South African Department of Health’s website at www.SAcoronavirus.co.za

© 2024 The Microsurgery . All Rights Reserved